Nephropathologie
Zur Diagnostik der Nierenerkrankungen (einschl. Transplantatnieren) bieten wir das gesamte Spektrum der Techniken mit konventionell mikroskopischen Methoden, Immunhistochemie und Elektronenmikroskopie (sogenannte Tripple-Diagnostik) an.
Das Biopsiematerial sollte formalinfixiert eingesandt werden. Hierzu stellen wir Ihnen gerne entsprechende Gefäße zur Verfügung. Wir bitten um eine kurze Kontaktaufnahme vor der ersten Einsendung.

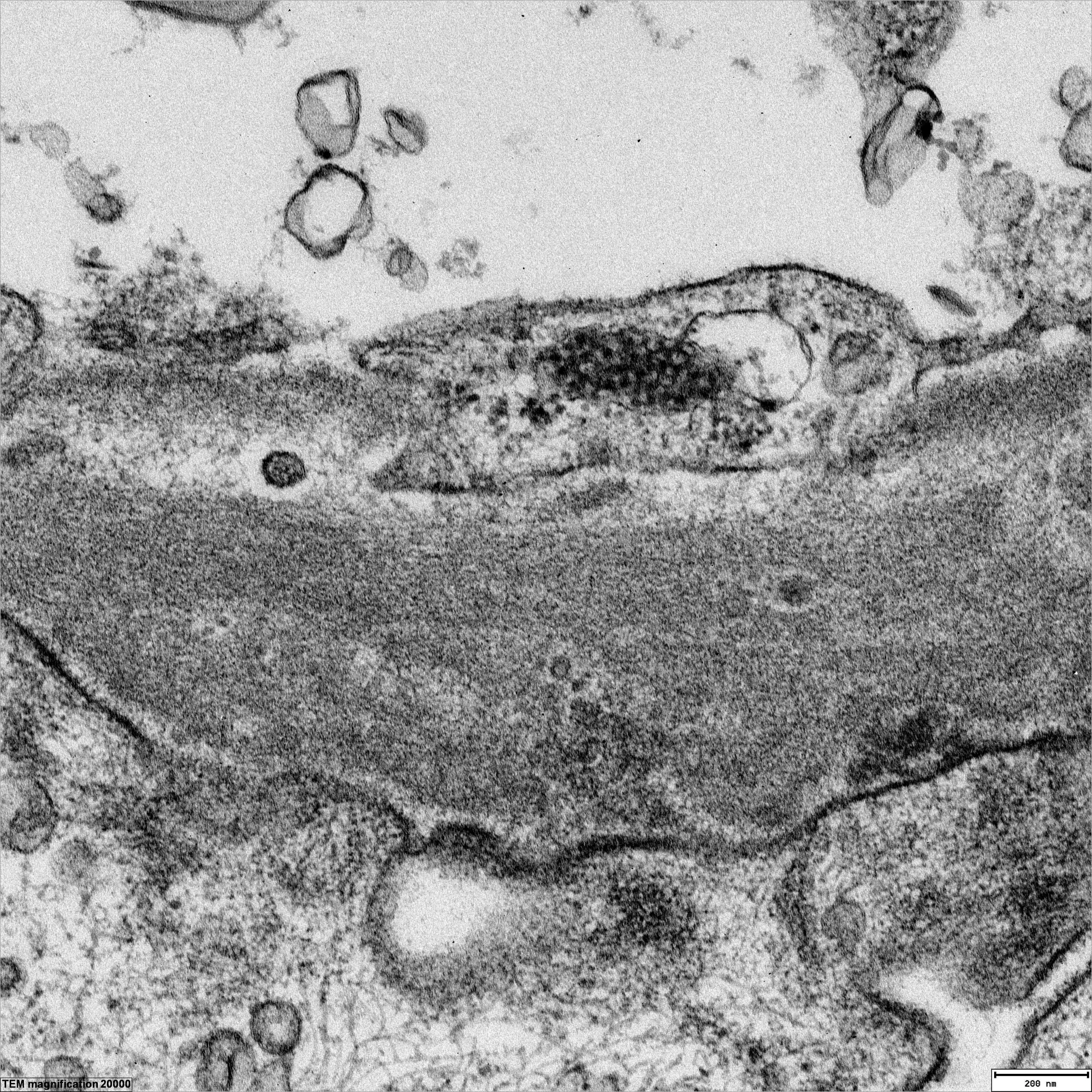
Tubulo-retikuläre Strukturen in einer Endothelzelle bei Lupus erythematodes (TEM, x20000)
Bei Probeneingang vor 11:00 Uhr ergeht am selben Tag ein vorläufiger, auf der lichtmikroskopischen Untersuchung basierender Befund – der immunhistochemische Befund am folgenden Arbeitstag.
Klinisch-pathologische Fallkonferenzen und Fortbildungsveranstaltungen werden sowohl für interne als auch für externe Einsender angeboten.
Kontakt
Sekretariat Direktion
Telefon 0621/383-2275
Telefax 0621/383-2005
pathologie-sekretariat@umm.de
Befundauskünfte
Telefon 0621/383-2559
Prosektur/Sektionsdienst
Telefon 0621/383-2245
Mobil 0151/2297-3360

